| 일 | 월 | 화 | 수 | 목 | 금 | 토 |
|---|---|---|---|---|---|---|
| 1 | 2 | 3 | 4 | 5 | 6 | 7 |
| 8 | 9 | 10 | 11 | 12 | 13 | 14 |
| 15 | 16 | 17 | 18 | 19 | 20 | 21 |
| 22 | 23 | 24 | 25 | 26 | 27 | 28 |
- 울산 태화강 국가정원의 가을풍경
- 태화강국가정원의 억새숲
- 태화강 국가정원
- 태화강 숭어떼
- 티스토리챌린지
- 튜립나무꽃
- 태화강의 백로떼
- 태화강국가정원
- 태화강 수달
- 태화강 국가정원 국화원
- 태화강 억새숲 국가정원 코스모스꽃
- 태화강 국가정원의 가을
- 흰날개 해오라기.
- 태화강
- 태화강의 여름조류.
- 울산의 가을
- 명촌 억새숲
- 태화강의 여름 풍경.
- 일생동안 한 번은 꼭 가봐야 할 유명한 여행명소 20
- 태화강 국가정원의 여름풍경
- 태화강의 여름풍경
- 오블완
- 태화강국가정원 봄꽃축제
- 태화강국가정원의가을
- 태화강국가정원의 가을.
- 왜가리떼
- 태화강 해오라기.
- 문수 체육공원
- 문주란 꽃
- 태화강 누치떼
- Today
- Total
바람따라 구름따라
흥미로운 희귀병 및 치료사례 50 본문
흥미로운 희귀병 및 치료사례 50
인터넷은 매혹적인 이야기의 보고이며, 의학의 세계에 관해서는 이야기가 훨씬 더 매력적이다. 놀라운 회복부터 수수께끼 같은 진단에 이르기까지, 의료 사례는 인체의 복잡성과 회복력을 드러낸다. 이를 통해 의료의 도전과 승리를 엿볼 수 있다. 주목할 만한 의학 이야기의 허브 중 하나는 서브레딧 r/medizzy로,사람들이 가장 흥미로운 사례를 공유한다.이 커뮤니티는 노련한 전문가조차 당황하게 만드는 희귀 질환에 대해
자세히 다루고 의사들의 일상적인 투쟁과 승리를 강조한다. 의학의 이상하고 놀랍고 경외심을 불러일으키는 측면을 보여주는 이 특별한 의료 사례를 탐색해보자!

1.제 1 차 세계 대전 중 얼굴 재건 (1916-1917) [채색]

2.양악수술 전후

3.이 여성은 진통 중에 힘겨운 끝에 즉각적인 의료 서비스를 받지 못해 스스로 제왕절개를 했다. 산모와 아기 둘 다 살았다!

4.완벽하게 정렬된 흉골 절개 씰링, 외과 의사도 놀랐다.

5.인도의 한 남성은 "늑대인간 증후군"으로도 알려진 다모증이라는 매우 희귀한 질환을 앓고 있다.

6.파상풍 또는 "Lockjaw"은 Clostridium Tetani균에 의해 발생하는데, 이 박테리아는 심한 근육 경련을 일으키는 독소를 생성한다.
역사적으로 갑작스럽고 경직된 근육 수축으로 인해 사람들은 파상풍이 악마 빙의의 한 형태라고 믿었다.

7.신장 결석

8.정상적인 모반

9.통풍성 관절염

10.페루에 사는 한 남자가 낚시 사고를 당한 후 풍선처럼 비정상적으로 부풀어 오르는 경험을 하였다. 조개류를 잡기 위해 심해 잠수 탐험을 한 후, 그는 대형 상업용 선박의 프로펠러가 압축 공기 공급을 차단하는 바람에 급히 수면 위로 떠올라와야 했다.

11.'23년 1월에 뇌 수술을 받았는데 사용한 나사 중 하나가 피부를 관통하여 결국 빠져 나왔다.

12.Mermaid (인어)증후군

13.빡빡한 상황! 응급실의 Boa수축기

14.13골수에 사용하기 위해 장기 기증자로부터 채취한 척추체

15.2020년 HCP로 일하면서 코로나에 두 번 걸린 이후로 이제 한 달에 몇 번, 주로 스트레스를 받을 때 바이러스 후 반응인 것 같은 전신 두드러기가 난다.

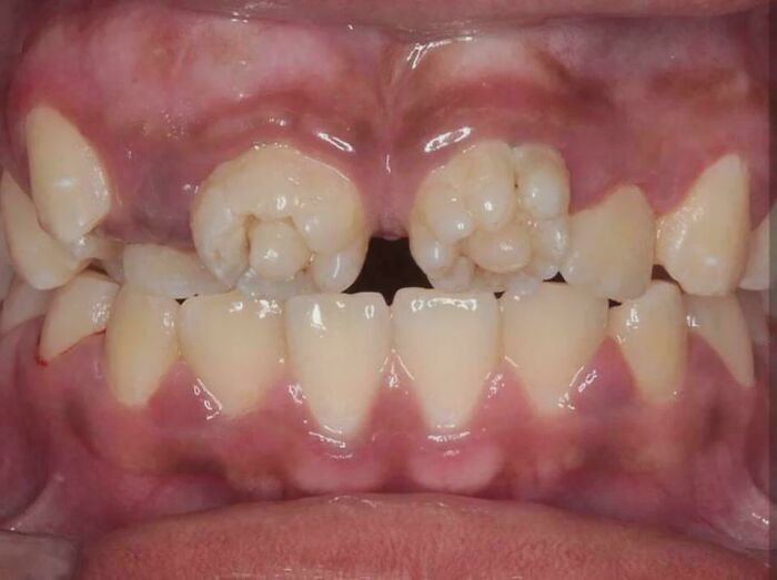
16.이것들은 뽕나무 어금니로서, 선천성 매독과 관련이 있다.

17.근막이라고 불리는 것을 드물게 엿볼 수 있는데, 그것은 근육 위와 피부 아래에 있는 흰색 덮개이다!

18 Caput Medusae. 그것은 일반적으로 복부 주위의 배꼽에서 방사되는 충혈되고 심하게 팽창 된 상복부 정맥의 모양이다.
그것은 또한 야자수 표시로 불리고 문맥 고혈압의 기본적인 표시다.

19.발달 중인 한 쌍의 태아 폐가 얼마나 작을 수 있는지 보여주는 샷!

20.항생제에 내성이 생긴 심한 감염으로 인해 고막이 파열되었다. 디지털 검경을 사서 치유되는 동안 격일로 사진을 찍었다.

21.신경외과 의사가 여성의 뇌에서 8cm 길이의 살아있는 벌레를 제거했다.

22.림프부종의 극단적인 사례!

23.3년 전에 유리체 절제술 수술을 받았고 지금은 한 동공이 항상 다른 동공보다 크다.

24.이 젊은 환자는 축구 테이블 기둥을 밟았고, 막대기가 신발과 양말을 뚫고 발바닥을 관통했다.

25.U 음성이고 anti-U가 있는 태아 환자의 냉동 적혈구. 인구의 약 99.9%가 U양성이다.적혈구는 향후 환자의 항체를 식별하는 데 사용된다.

26.내 아기는 작년에 내 옆구리 IUD 옆에 이식되었다. 내 산부인과 사무실은 이것이 얼마나 드문 일인지에 대해 여전히 이야기하고 있다.
그녀는 이제 7 1/2 주이다.

27.뚜꺼운 치석 제거

28. 신증후군이 있는 5세 환자의 혈액

29.형제는 흑색종으로 눈을 수술했다.

30.Tim이라는 이 남자는 멜론 크기로 자란 암 종양을 가지고 있었는데 선구적인 외과 의사에 의해 재건되었다.

31.남편의 혈압. 의사는 그가 정신을 차리고 대화를 계속하는 것에 놀랐다.

32. HFMD 후 손톱이 빠지는 경우

33.엄마의 IUD 장치를 머리에 넣고 태어난 아기

34.내 손톱은 주름이 많고 꽤 부서지기 쉽다.

35. 골육종(Osteosarcoma)

36. 장갑 없이 망고를 따고 난 후 극도로 가지치기된 손가락

37.50대 남성이 술에 취한 상태에서 자전거 페달에 넘어졌다.

38 Debridement 오른쪽 어깨의 활막 연골종증으로 인한 석회화 수집

39.새로운 절차로 PE 제거. 지난 주에 그들이 내 사타구니를 통해 내 폐에서 빨아 들인 것은 다음과 같다.

40.벌에 쏘인 후의 손

41.자발적 Hyphema

42.양측 원추 각막

43.내 발목을 엉망으로 만들었어 진짜 나쁘고 여기에 게시하라는 지시를 받았다.

44.권투 부상 후 의 팔

45. Toxoplasma Gondii 뇌의 농양

46.매우 가렵고 팔과 다리에만 있어 두 명의 의사에게 갔는데, 한 명은 곰팡이가 보인다고 말했고, 다른 한 명은 세균처럼 보인다고 말했다.

47.개방구 손상은 열상 또는 은폐된 파열로 인해 안구의 바깥층이 완전히 관통하는 것이 특징이다.

48.움푹 들어간 코

49. 너무 심하게 구토하고 결국 눈꺼풀과 목에 점상 출혈이 생겼다.

50.환자가 길 잃은 개에게 물렸고, 이것은 그의 광견병 백신과 면역 Globulin설정이다.
'건강관리' 카테고리의 다른 글
| 생활 방식을 바꾸어 50㎏ 이상을 감량한 22세 여성 (1) | 2025.03.01 |
|---|---|
| 12주 동안 다른 식단으로 diet한 쌍둥이의 놀라운 결과 (1) | 2025.02.09 |
| 인생을 바꾸는 10가지 건강한 습관 (0) | 2024.12.15 |
| 불면증과 싸우는 7가지 효과적인 방법 (3) | 2024.12.02 |
| 항상 피곤하고, 바쁘고, 돈이 없는 사람들을 위한 9가지 건강한 생활 습관 (4) | 2024.10.24 |
